
こんにちは。大田区山王、JR京浜東北線「大森駅」より徒歩6分にある歯医者「大森山王あおやま歯科」です。
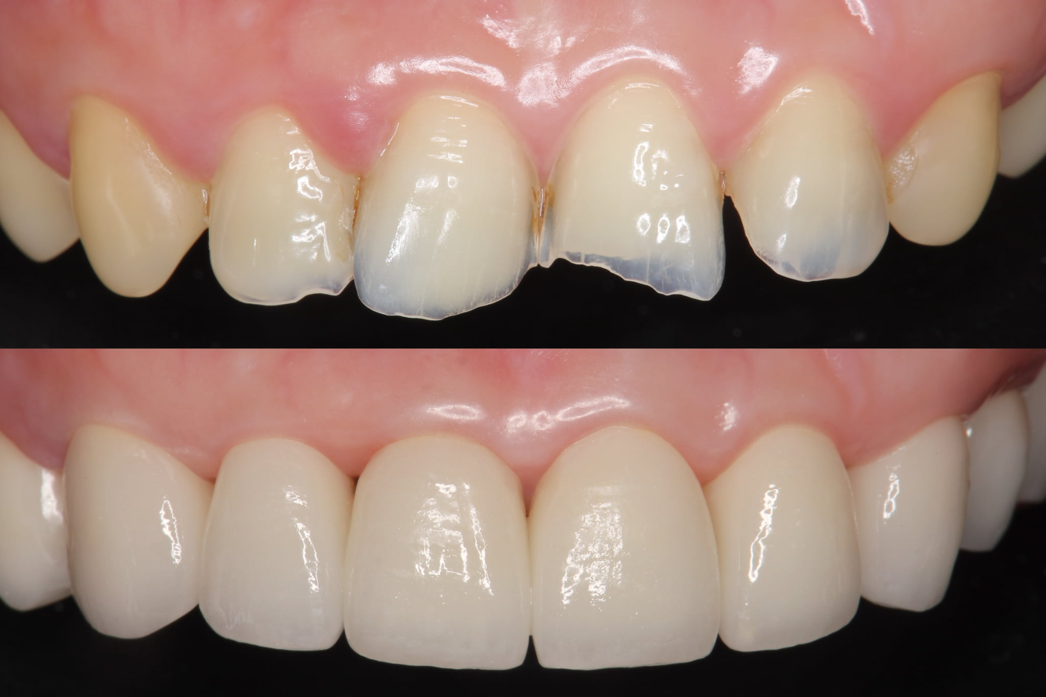
歯の見た目や健康を気にする人が増えるなかで、審美歯科に注目が集まっています。なかでもセラミック治療は、見た目の美しさと機能性を両立できる治療法として人気を集めています。
セラミック治療にはメリットだけでなく、デメリットも存在するため、事前によく理解しておくことが大切です。
そこで今回は、セラミック治療とはどのような治療法か、どのようなメリット・デメリットがあるのか解説します。セラミック治療の種類もご紹介しますので、ぜひ参考にしてください。
セラミック治療とは

セラミック治療とは、虫歯や歯の欠け、変色などを補う際に、セラミック素材を使用して修復を行う歯科治療のことです。
セラミックは陶器の一種であり、透明感や質感が天然の歯に非常に近いため、自然な見た目を再現しやすいという特徴があります。従来の銀歯などの金属素材と比べて、審美性に優れていることから、近年では多くの方に選ばれています。
セラミック治療は基本的に自由診療となるため費用がかかりますが、その分、機能性と見た目の両方を求める方には非常に有効な選択肢といえるでしょう。
セラミック治療の種類

セラミック治療にはいくつかの種類があり、それぞれに特徴があります。
セラミックインレー(詰め物)
セラミックインレーは、虫歯治療後の詰め物として使用されるセラミック製の修復物です。歯の一部にできた虫歯を削ったあと、その部分を補うために使われます。
従来は銀歯などの金属製インレーが一般的でしたが、目立ちやすく、金属アレルギーのリスクもあるため、現在ではセラミック素材を選ぶ人が増えています。
セラミックインレーの大きな特長は、天然歯と調和した自然な色合いと、ツヤのある質感です。治療した部分が目立ちにくいため、特に笑ったときに奥歯が見えることを気にする方に選ばれています。
また、セラミックは表面が滑らかで汚れが付きにくいため、虫歯の再発リスクも抑える効果が期待できます。耐久性にも優れており、適切なケアを行えば長期間の使用が可能です。
審美性と機能性の両方を重視したい方にとって、セラミックインレーは非常に魅力的な治療法といえるでしょう。
セラミッククラウン(被せ物)
セラミッククラウンとは、歯の全体を覆うように装着する被せ物です。虫歯が進行して歯の大部分を失った場合や、根管治療後に歯の強度を補いたい場合などに用いられます。
従来のクラウンには金属が使われることが多く、見た目や金属アレルギーの面で課題がありましたが、セラミック素材を使用することでそうした問題を解消できます。
セラミッククラウンは、白く透明感のある素材でできており、天然歯に近い自然な仕上がりになります。特に前歯の治療に使用されることが多く、笑ったときにも人工歯だと気づかれにくいのが大きなメリットです。
また、金属を使わないオールセラミックであれば、金属イオンの溶け出しによる歯ぐきの黒ずみも起こりません。耐久性も高く、噛む力にも十分に耐えられるため、見た目だけでなく機能面でも安心して使用できます。
美しさと健康の両立を目指す方にとって、セラミッククラウンは非常に有効な治療方法といえるでしょう。
ラミネートベニア
ラミネートベニアは、歯の表面に薄いセラミック製のシェル(板)を貼り付ける方法です。歯の色や形、すき間などを美しく整えることができ、短期間で自然な口元を手に入れたい方に人気があります。
この治療では、歯の表面をごくわずかに削ってからセラミックを接着します。削る量が最小限で済むため、歯へのダメージを抑えつつ、高い審美性を実現できるのが特徴です。また、セラミックは変色しにくく、ホワイトニングでは効果が出にくい歯の着色にも有効です。
セラミック治療のメリット

セラミック治療には多くの利点があり、近年注目を集める理由となっています。以下に詳しく解説します。
見た目が美しくなる
セラミック治療の大きな魅力の一つが、自然で美しい見た目を実現できる点です。セラミック素材は透明感やツヤがあり、天然歯に非常によく似た質感を持っています。そのため、治療した箇所が周囲の歯となじみやすく、まるで自分の歯のように自然な仕上がりになります。
特に前歯など目立つ部分の治療では、見た目の美しさが重要視されます。従来の金属製の詰め物や被せ物では、どうしても口を開けたときに目立ちやすいというデメリットがありましたが、セラミックであればそうした心配は不要です。
人前に出る仕事をしている方や、笑顔に自信を持ちたい方にとって、セラミック治療は魅力的な選択肢といえるでしょう。
耐久性に優れている
セラミック治療は、見た目だけでなく耐久性にも優れている点が大きな特徴です。セラミックは非常に硬く、日常的な食事や会話といった負荷にもしっかり耐えることができます。摩耗しにくく、表面のツヤや色も長期間保てる点も利点です。
適切に装着されたセラミックの詰め物や被せ物は、数年から十年以上にわたって使用できるケースも多く、長期的に見ても安定した治療結果が期待できます。
ただし、強い衝撃や過度な力が加わると欠けたり割れたりすることもあるため、定期的なメンテナンスや噛み合わせのチェックは欠かせません。正しいケアを続けることで、セラミックの耐久性を最大限に活かすことができるでしょう。
金属アレルギーのリスクがない
セラミック治療は、金属アレルギーのある方にも安心して選べる治療法です。金属製の補綴物では、時間とともに金属イオンが溶け出し、歯茎の黒ずみやかゆみなどのアレルギー反応が起こることがあります。
しかし、セラミックにはそのような心配がなく、体への影響を最小限に抑えることができます。特にアレルギー体質の方や、健康意識の高い方にとっては大きなメリットといえるでしょう。
虫歯の再発を防ぎやすい
セラミック素材は表面が非常に滑らかで、プラーク(歯垢)や食べかすが付きにくいため、口腔内の衛生状態を良好に保ちやすいのが特徴です。これにより、虫歯の原因となる細菌の繁殖を抑えることができ、再発のリスクを軽減します。
また、セラミックによる補綴物は歯との適合性が高く、密着性に優れているため、補綴物と歯のすき間に細菌が入り込むのを防ぎやすくなっています。
セラミック治療のデメリット

どんな治療にもメリットとデメリットがあるように、セラミック治療にも注意すべき点があります。以下に詳しく解説します。
費用が高額になりやすい
セラミック治療のデメリットとして、最も多く挙げられるのが費用の高さです。
セラミックによる詰め物や被せ物は、ほとんどの場合が保険適用外の自由診療となるため、治療費が高額になりやすい傾向があります。治療内容や使用する素材の種類によって異なりますが、1本あたり数万円から十数万円程度かかることも珍しくありません。
また、複数の歯を同時に治療する場合や、審美性をより高めるために特注のセラミックを使用する場合は、さらに費用が高くなることがあります。そのため、セラミック治療を検討する際には、あらかじめ見積もりを取り、費用の全体像を把握しておくことが重要です。
割れたり欠けたりする可能性がある
セラミックは硬い素材である一方で、強い衝撃が加わると割れやすいという性質も持っています。
特に歯ぎしりや強い噛みしめの癖がある方は注意が必要です。硬いものを噛んだときにヒビが入ることもあり、再治療が必要になるケースもあります。そのため、ナイトガードの使用や生活習慣の見直しなど、日常のケアが重要となります。
メンテナンスが必要
セラミック治療を受けたあとも、きれいな状態を長く保つためには定期的なメンテナンスが必要です。
セラミックそのものは変色しにくく丈夫な素材ですが、口の中は常に飲食や唾液の影響を受けているため、放っておくと汚れや細菌がたまりやすくなります。特に歯とセラミックの境目は、プラークが付着しやすい箇所の一つです。
また、毎日の歯磨きだけでは取りきれない汚れもあるため、歯科医院で定期的にクリーニングを受けることが推奨されます。クリーニングによって、ふだんの歯磨きでは落としきれない細かい部分に付着した汚れを除去することで、虫歯や歯周病の予防にもつながります。
歯を削る必要がある
セラミック治療では、補綴物をしっかりと装着するために健康な歯を削ることがあります。
歯を削ることで見た目が整い、補綴物の密着性も高まりますが、一度削った歯は元の状態に戻すことができません。また、削る量が多い場合には、歯の神経に影響を与えるリスクもゼロではありません。
そのため、事前に治療の目的や内容、削る範囲について十分な説明を受け、納得したうえで治療に進むことが重要です。
まとめ

セラミック治療は、見た目の美しさとお口の健康を同時に追求できる、現代歯科医療において注目度の高い治療法です。
天然歯のような自然な仕上がりになる、金属アレルギーの心配がないといった多くのメリットがあり、審美面や健康面を重視する方にとって魅力的な選択肢となっています。
一方で、高額な費用がかかる、治療内容によっては歯を削る必要があるといったデメリットも存在します。また、治療後も良好な状態を維持するためには、セルフケアと定期的なメンテナンスが欠かせません。
こうした特性をよく理解したうえで、自分の口の中の状態やライフスタイル、将来の健康を見据えて治療法を選択することが大切です。
セラミック治療を検討されている方は、大田区山王、JR京浜東北線「大森駅」より徒歩6分にある歯医者「大森山王あおやま歯科」にお気軽にご相談ください。
当院は「誰もが通いやすい、いつでも気軽に相談ができる歯医者さん」を目指して日々診療にあたっています。一般歯科だけでなく、インプラント治療や矯正治療など、幅広く対応しています。











