ホワイトニング
より明るく自信あふれる笑顔のために
美しい口元は、その人の表情を明るく見せ、清潔で若々しい印象を与えます。
「歯の色がもう少し白かったら、もっと自信を持って笑えるのに」
そのように感じていらっしゃる方は、少なくないかもしれません。
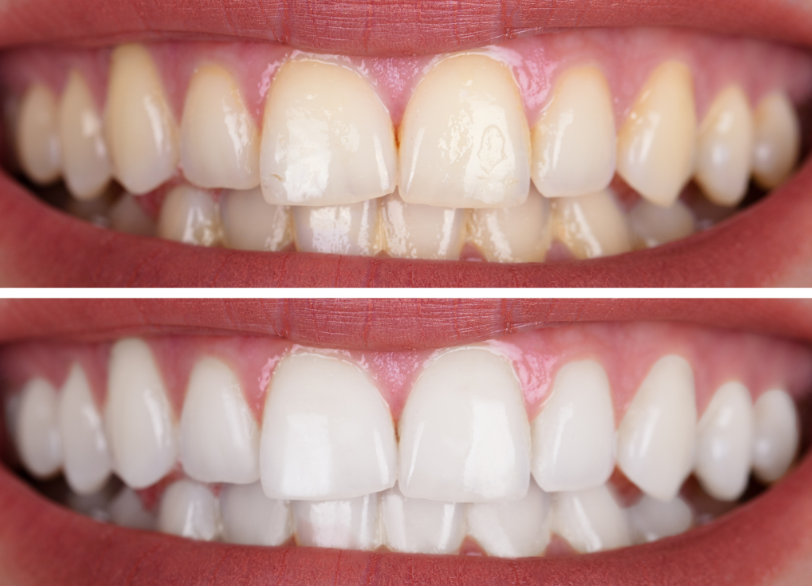
ホワイトニングは、ご自身の歯を削ることなく、専用の薬剤を用いて歯そのものを内側から明るく白くしていく処置です。
日々の飲食や、年齢とともに積み重なった歯の黄ばみを分解し、歯が本来持っている、自然で透明感のある白さを取り戻します。
ただし、私たちは、ホワイトニングを単なる美容サービスとは考えておりません。
安全で、より良い結果を得るためには、お口全体の健康状態を正しく理解し、歯科医師の管理下で適切に行うことが不可欠です。
歯の「黄ばみ」の原因
歯の色が変化する原因は、一つではありません。
主に、以下の二つの要因が考えられます。
外部からの着色(外因性)
コーヒー、紅茶、赤ワイン、カレーといった色の濃い飲食物や、喫煙によるヤニなどが、日々の生活の中で歯の表面に付着し、蓄積していくものです。
これらの表面的な汚れは、歯科医院での専門的なクリーニングである程度落とすことができますが、歯の内部にまで染み込んだ色素は、それだけでは取り除くことができません。
歯の内部からの変色(内因性)
年齢を重ねるにつれて、歯の表面の半透明な「エナメル質」が少しずつ薄くなり、その内側にある、もともと黄色味を帯びた「象牙質」の色が透けて見えるようになります。
これが、加齢による黄ばみの主な原因です。
また、歯が作られる時期の薬の影響や、遺伝的な歯の質も、色に影響することがあります。
ホワイトニングは、主にこの「内因性」の変色に対して、歯の内部の色素を分解することで、歯を白くしていきます。

安全なホワイトニングのために
当院が大切にしていること
患者様に、安心して、そしてご満足いただける結果を得ていただくために、当院では以下の点を必ず守っています。
1. 必ずお口の診察から始めます
ホワイトニングは、健康な歯と歯ぐきに対して行われるべき処置です。
もし、治療していない虫歯があったり、歯周病で歯ぐきが炎症を起こしていたりする状態でホワイトニングを行うと、薬剤が虫歯の穴から歯の神経にしみて激しい痛みを引き起こしたり、歯ぐきの炎症を悪化させたりする危険性があります。
そのため当院では、ホワイトニングを始める前に、必ずお口全体の精密な検査を行い、必要な治療があれば、そちらを優先します。
2. 事前のクリーニングを丁寧に行います
歯の表面に歯石や着色汚れが付着したままだと、ホワイトニング剤が歯に均一に作用せず、色ムラの原因となります。
ホワイトニングの効果を引き出すために、事前に専門的なクリーニング(PMTC)を行い、歯の表面をきれいに磨き上げた状態にしてから、ホワイトニングを開始します。
3. 黄ばみの原因を正しく診断します
歯の変色の原因は、様々です。
例えば、過去に歯の神経を抜いた歯や、特定の薬剤の影響で変色した歯は、通常のホワイトニングでは白くならないことがあります。
カウンセリングと診察を通じて、歯の色の原因を正しく診断し、ホワイトニングがその方に適した方法であるかを、しっかりと見極めます。
ライフスタイルに合わせて選べる、
3つのホワイトニング
当院では、患者様のご希望やライフスタイルに合わせて、3つのホワイトニング方法をご用意しています。
1. ホームホワイトニング
ご自宅で、ご自身のペースで進めていただく方法です。
治療の流れ
・歯科医院にて、お口の診察とクリーニングを行います
・歯型を採り、患者様のお口にぴったりと合う、専用のマウスピース(カスタムフィット・トレイ)を作製します
・完成したマウスピースと、低濃度のホワイトニングジェルをお渡しします。ご自宅で、毎日一定時間、ジェルを入れたマウスピースを装着していただきます
このような方に向いています
・ご自身の好きな時間に、リラックスして行いたい方
・歯科医院へ何度も通うのが難しい、お忙しい方
・白さを長持ちさせたい方
時間をかけて、歯の内部までゆっくりと薬剤を浸透させるため、白さが後戻りしにくく、透明感のある自然な仕上がりになるのが特徴です。
2. オフィスホワイトニング
歯科医院にご来院いただき、すべての処置を院内で完了させる方法です。
治療の流れ
・歯ぐきを保護するための、専用のプロテクターを塗布します
・歯の表面に、高濃度のホワイトニング剤を塗布します
・一定時間おいた後、薬剤を洗い流します。この工程を、数回繰り返します
このような方に向いています
・ご自身で作業するのが面倒だと感じる方
・結婚式や大切なイベントなどを控え、短期間で効果を実感したい方
専門家である歯科医師・歯科衛生士が、専門の機材と高濃度の薬剤を用いて行うため、一度の処置でも白さの変化を実感しやすいのが特徴です。
3. デュアルホワイトニング
オフィスホワイトニングとホームホワイトニングを、併行して行う方法です。
治療の流れ
・まず歯科医院でのオフィスホワイトニングで、歯の色を一気に明るくします。
・その後、ご自宅でのホームホワイトニングを継続していただくことで、さらなる白さを追求し、その効果を長期間維持していきます。
このような方に向いています
・可能な限り、高いレベルの白さを目指したい方
・白さの効果を、より早く、そしてより長く持続させたい方
それぞれの方法の長所を組み合わせた、効果の高いホワイトニング方法です。
より理想的な口元を、確実に手に入れたいと考える方に、お勧めしています。
ホワイトニングに関するよくあるご質問
Q. 痛みや歯がしみることはありますか?
A. ホワイトニングの過程で、一時的に歯がしみるような、知覚過敏の症状が出ることがあります。
多くは一過性のもので、時間とともにおさまりますが、当院では、しみ止めの成分が含まれた歯磨き粉の使用をお勧めするなど、症状を軽減する工夫をしています。
Q. 白さはどのくらい持続しますか?
A. 日々の食生活や、喫煙などの習慣によって個人差がありますが、一般的に、オフィスホワイトニングで数ヶ月から1年、ホームホワイトニングはそれよりも長く持続する傾向にあります。
定期的に歯科医院でクリーニングを受けたり、ホームホワイトニングによる追加のケア(タッチアップ)を行ったりすることで、白さを長く保つことが可能です。
Q. つめ物やかぶせ物も白くなりますか?
A. いいえ、ホワイトニングで白くなるのは、ご自身の天然の歯だけです。
セラミックのかぶせ物や、プラスチックのつめ物といった人工の歯の色は、変化しません。
そのため、ホワイトニング後に、白くなったご自身の歯の色に合わせて、古い修復物をやり直す必要が生じる場合もあります。
口元が明るくなると、自然と表情も豊かになり、気持ちまで前向きになるものです。
ご自身の歯の色について、少しでも気になることがございましたら、どうぞお気軽にご相談ください。
安全な方法で、理想の笑顔を手に入れるお手伝いをいたします。

03-6429-9644